放射線科
更新日:2025年1月1日
診察内容・専門分野
放射線科では以下のような検査および治療を行っております。
検査
一般撮影、骨塩定量、CT、MRI、各種造影、核医学(ラジオアイソトープ)検査など、各種画像診断に対応しております
CT、MRIと核医学検査は院外の医療機関からのご依頼を受けております。
ご依頼はすべて予約制となっております。下記にてご予約をお願いいたします。
CT、MRI:医事課医療連携担当 048-965-2221(代)
核医学検査:放射線科RI検査室 048-965-2221(代)
その他の検査については該当する各診療科にご紹介いただきますようお願い申し上げます。
治療
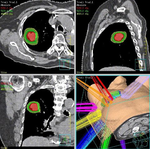
悪性腫瘍に対する放射線治療および肝腫瘍や産婦人科疾患に対する血管内治療(インターベンショナルラジオロジー)を行っています。
特色
放射線治療装置を更新し、平成26年6月より放射線治療を再開いたしました。従来の放射線治療に加えて精度の高い先進的な放射線治療が可能となり、肺腫瘍へのピンポイント治療も行っています。
放射線治療外来はすべて予約制となっております。
紹介患者様がおられましたら、下記にて予約をお願いいたします。
医事課医療連携担当 048-965-2221(代)

診療スタッフ紹介
| 医師名 | 役職 | 専門分野 | 備考 |
|---|---|---|---|
| 羽根田 淳 |
科部長 | 神経放射線 |
日本医学放射線学会認定放射線診断専門医 放射線科専門医 |
| 橋本 怜 |
医師 | 放射線診断 |
日本医学放射線学会認定放射線診断専門医 マンモグラフィ読影講習会修了 緩和ケア研修会修了 初期臨床研修指導医 |
| 大図 ひろみ |
医師 | 放射線診断 |
日本医学放射線学会認定放射線科専門医 日本医学放射線学会認定放射線診断専門医 |


